April 27, 2020

Diatoms

Macro and Micro Picture of the Day 2020-04-27

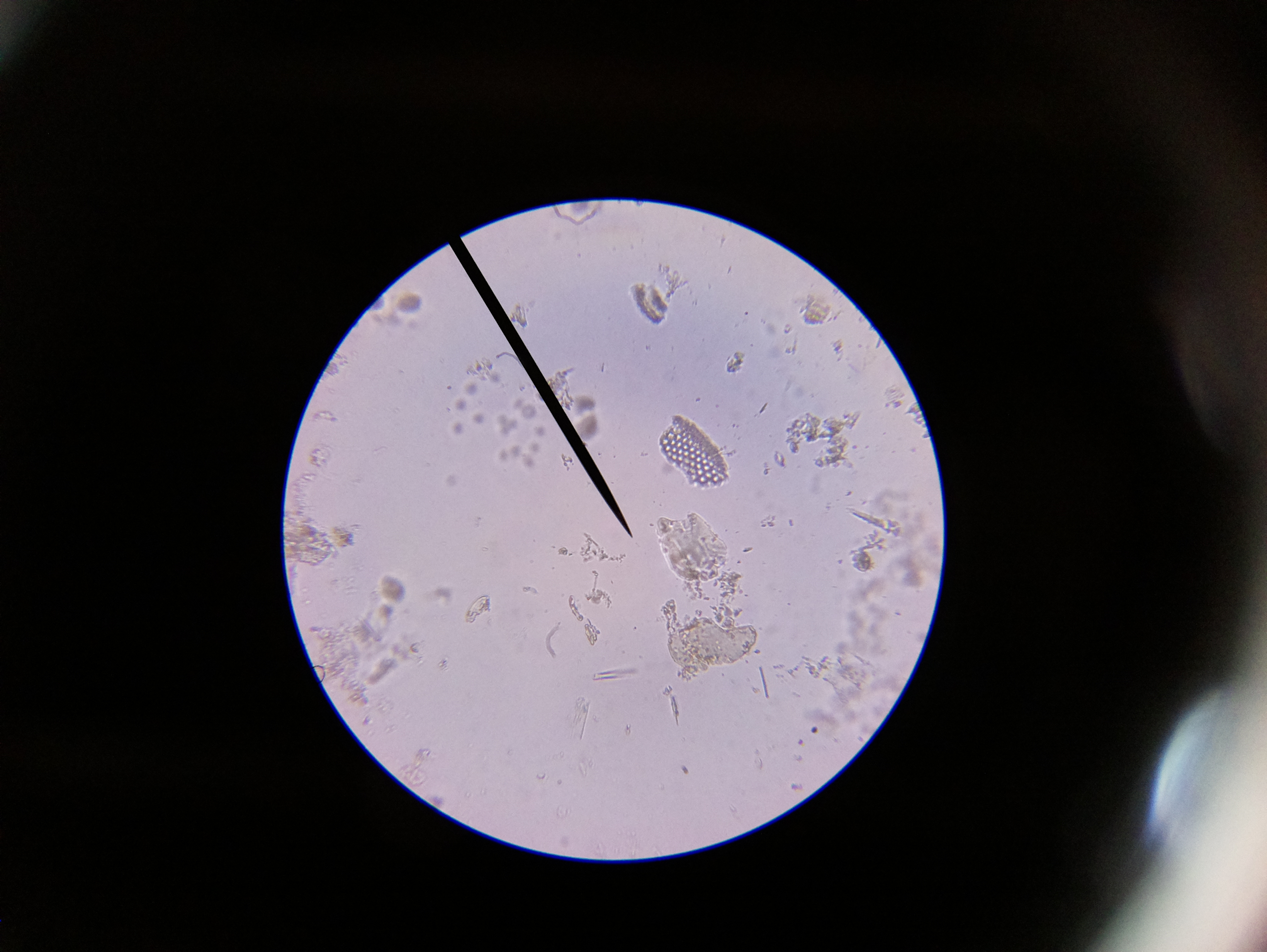
Here is diatomaceous earth at 400x magnification under a wet mount. Some diatoms can be seen. Diatoms are single celled photosynthetic eukaryotes with an inspiringly wide variety of geometries. As much as 50 percent of the oxygen produced each year on Earth is due to diatoms.

Equipment used: AmScope M150C microscope with Raspberry Pi camera module V2 (8MP).



submit to reddit   

blog comments powered by Disqus