Copyright 2020 Exstrom Laboratories LLC Longmont, Colorado
Authors: Stefan and Richard Hollos
All images in the Macro and Micro Picture of the Day are licensed under the Creative Commons Attribution 4.0 International License.
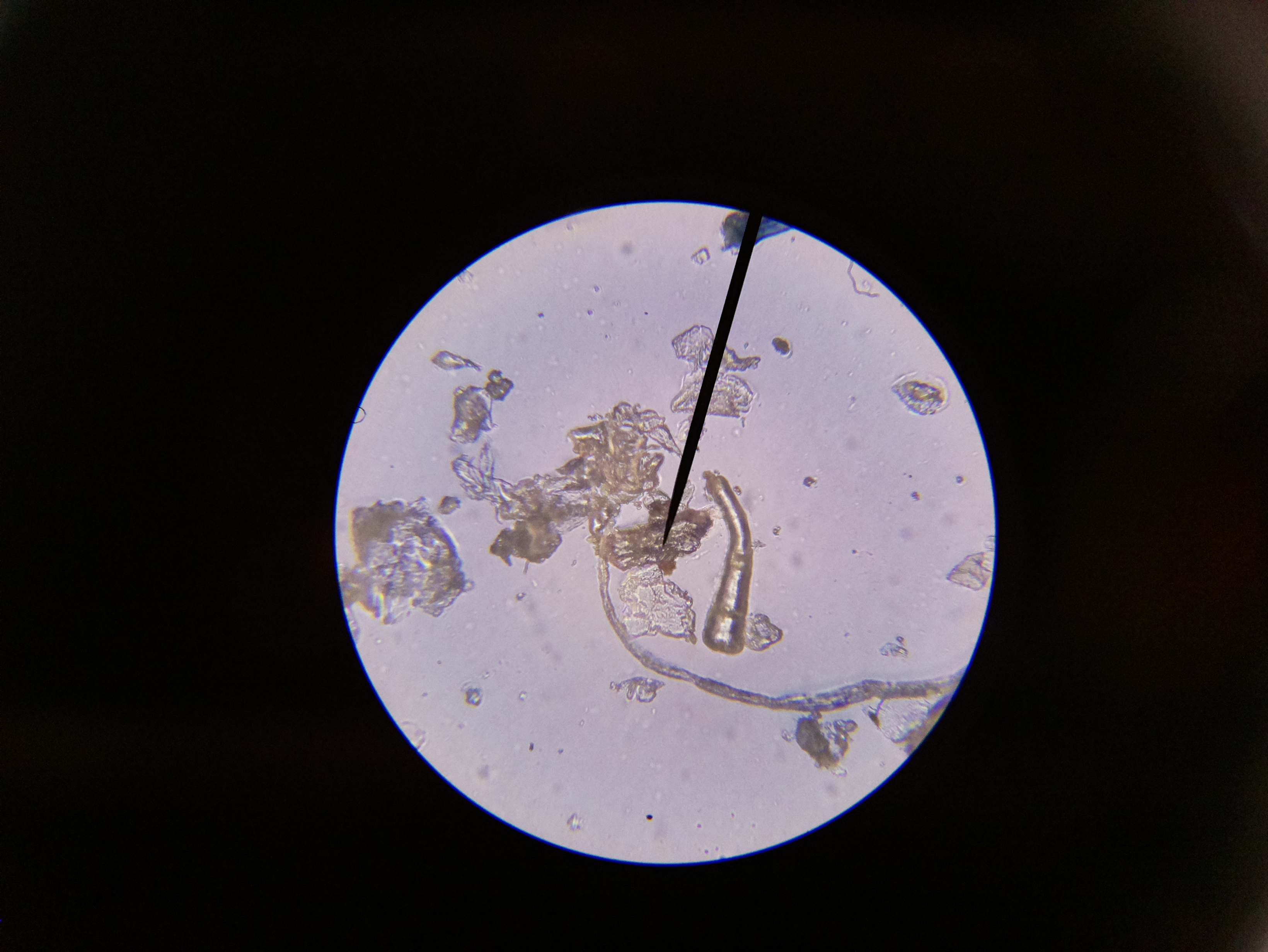
Here is more house dust on transparent tape at 400x magnification. A root-like object to the right of center resembles a hyphal fragment.
Equipment used: AmScope M150C microscope with Raspberry Pi camera module V2 (8MP).