May 18, 2020

Honey Bee Wing 2

Macro and Micro Picture of the Day 2020-05-18

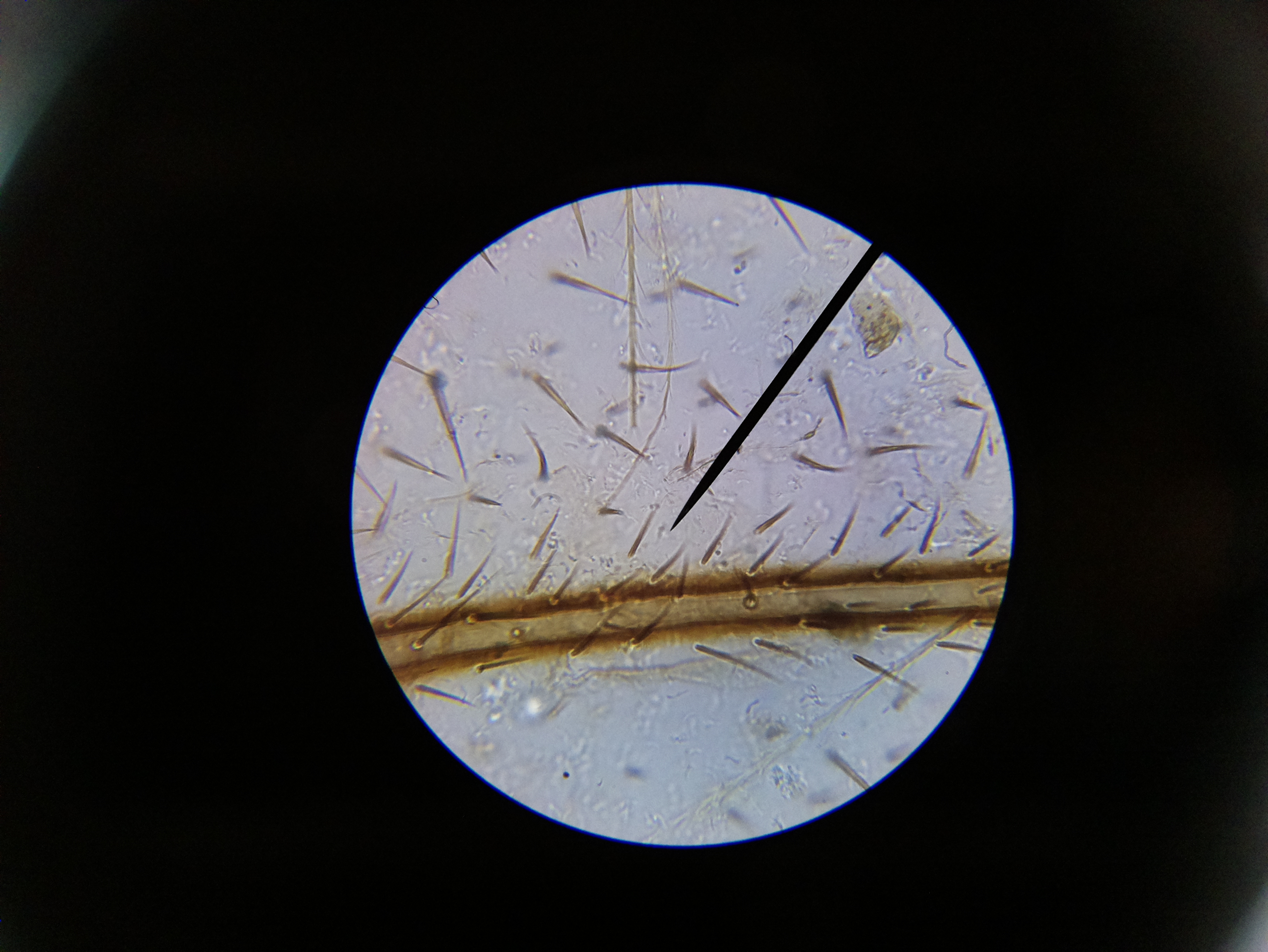
Here is the same honey bee wing as yesterday but we increased the magnification from 40x to 400x. At this scale we can see little hairs on the wings. It's not known for sure what function they serve but speculation includes pollen collection, aerodynamics, and rain protection. Our own hypothesis is that they are there for the same reason there are treads on shoes. In this case to provide a better lift for the bee.

Equipment used: AmScope M150C microscope with Raspberry Pi camera module V2 (8MP).



submit to reddit   

blog comments powered by Disqus